Call our UK Office for appointments and enquiries

Consultation and Flight Package for Dentistry Abroad


Request an Information Pack from Kreativ Dental

Kreativ Dental Clinic Dentist in Hungary

Kreativ Dental featuring in Dental Treatment Abroad documentary

Take a look around the Kreativ Dental Clinic


Read the step-by-step guide to visiting Kreativ Dental





Kreativ Dental Clinic - Dental Implants Preparation & Dental Treatment Abroad

Kreativ Dental Clinic - Implant Treatment Abroad
 

Before and After Photos

This FDI World Dental Federation tooth numbering digaram provides you with a guide for the before and after cases below.

Take a 3D Panoramic Tour of the Kreativ Dental Clinic

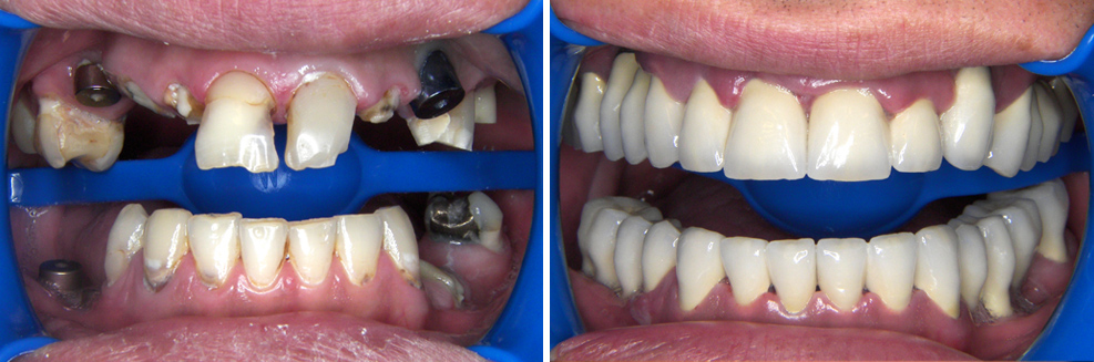
Case 1.

34 yr old female
Teeth 14 to 24 Zirconium Crowns
Teeth 17,16,26,27,38-36,48-46 Porcelain Fused to Metal Crowns


Click to enlarge


Case 2.

22 yr old female
Teeth 12-22 Veneers


Click to enlarge


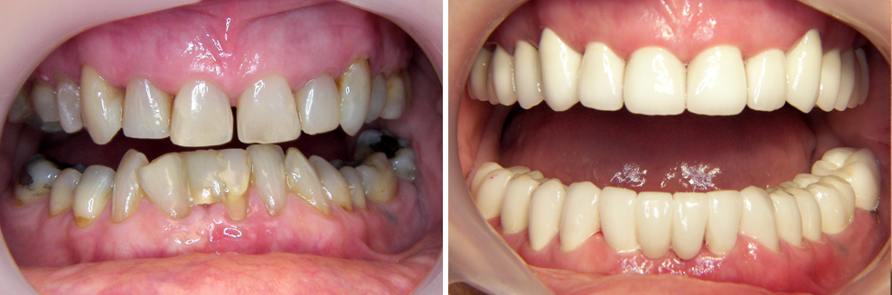
Case 3.

31 yr old male
Teeth 17 - 27 Porcelain Fused to Metal Crowns
Teeth 15, 23, 25 Implants
Teeth 37 - 46 Porcelain Fused to Metal Crowns
Teeth 45, 46 Implants


Click to enlarge

Case 4.

36 yr old female
Teeth 17 - 27 Zirconium Crowns
Teeth 37 - 47 Zirconium Crown



Click to enlarge

Case 5.

22 yr old female
Teeth 11 - 22 IPS e.max Veneers



Click to enlarge

Case 6.

56 yr old female
Teeth 17 - 27 Zirconium Crowns
Teeth 37 - 46 Zirconium Crowns



Click to enlarge

Case 7.

42 yr old female
Teeth 16 - 26 Porcelain Fused to Metal Crowns
Teeth 14, 16, 23, 25 Implants
Teeth 36 - 46 Porcelain Fused to Metal Crowns
Teeth 34, 36, 45, 46 Implants



Click to enlarge
 


Kreativ Dental are Compliant with the Code of Practice for Medical TourismKreativ Dental Treatment AbroadKreativ Dentistry AbroadDentist Abroad
 

Call Kreativ Dental UK +44 (0)845 0945 331

Kreativ Dental © Copyright 2006-2014 kreativdent.com © Copyright 1996-2014 All Rights Reserved Kreativ Dentist Abroad
Kreativ Dental UK 10 Stanley Road, Southampton, Hampshire, SO403PR United Kingdom. Comp No. 633611
Kreativ Dental Clinic Hungary, 1141 Budapest, Vezer ut 100, Hungary.
Site Map  |  Privacy  |  Disclaimer  |  Accessibility

Dental Treatment | Dentistry Abroad | Dentist in Hungary | Teeth Implant Budapest | creative dental clinic | Find us on Google+